Image

Invisalign for a Straighter Smile

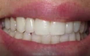
Invisalign – Before & Afters

Image
Image

Frequently Asked Questions

Interested in Invisalign?