
Fix Your Smile Fast With Bonding
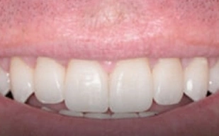
If you have decayed or broken teeth, dental bonding is a standard procedure to repair them. The treatment process is considered a cosmetic procedure when combined with tooth-colored composite resins. It can also hide various dental flaws, such as stains and discolorations.
Dental bonding is the most cost-effective and time-efficient way to repair dental flaws, mask discolorations, and close gaps between teeth. It is a one-visit, minimally invasive cosmetic procedure.
Even if you see your dentist regularly to prevent damage to your teeth, accidents or normal wear and tear can still cause chips and cracks. If you're unhappy with the appearance of your teeth, your dentist may have mentioned tooth bonding as a possible solution. Gallatin Dentists have covered a few questions for a better understanding.
Before & Afters



